
The “Iceberg” Effect: Deconstructing the True Tooth Implant Cost
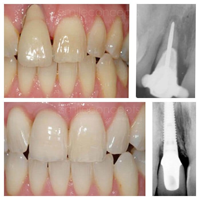
Tooth Implant Cost Tooth Implant The “Iceberg” Effect: Deconstructing the True Tooth Implant Cost By Dr Manish Shah | Registered Dental Practitioner | Registered Medical
SYDNEY CBD
SYDNEY CBD
SYDNEY CBD

Tooth Implant Cost Tooth Implant The “Iceberg” Effect: Deconstructing the True Tooth Implant Cost By Dr Manish Shah | Registered Dental Practitioner | Registered Medical

All on 4 Dental Implants all on 4 Dental Implants All on 4 Recovery: What Actually Happens in the First 6 Months By Dr Manish

Laser Gum Bleaching Maintain Pink Gums The Complete Guide to Laser Gum Bleaching Aftercare: How to Maintain Pink Gums Long-Term By Dr Manish Shah |

Tooth Coloured Fillings Dental Expert Tooth-coloured Fillings vs. Traditional Fillings: What Your Dentist Won’t Tell You About Temperature Sensitivity By Dr Manish Shah | Registered

Laser Gum Contouring Dental Expert How 2025’s Laser Gum Contouring Protocols Are Changing Smile Makeovers By Dr Manish Shah | Registered Dental Practitioner | Registered

Emergency Toothache Relief cracked tooth Dental Injuries and First Aid on Australian Adventures By Dr. Kinnar Shah | Cosmetic Dentist & Implant Mentor | SmileConcepts

Porcelain Veneers Dental Expert How Porcelain Veneers Can Design Your Dream Smile (No Compromises) By Dr. Kinnar Shah | Cosmetic Dentist & Implant Mentor |

Invisalign Sydney Dental Expert Unmasking the Link Between Bad Breath and Your Smile Transformation By Dr. Kinnar Shah | Cosmetic Dentist & Implant Mentor |

Dental Implant Dental Expert How to Choose the Best Dental Implant Dentist (Without Regret Later) By Dr. Kinnar Shah | Cosmetic Dentist & Implant Mentor

Braces vs. Clear Aligners Dental Expert Braces vs. Clear Aligners: Which One Is Right for You? By Dr. Kinnar Shah | Cosmetic Dentist & Implant

Dental Implants Dentures Dental Expert Can I Get Dental Implants If I Have Bone Loss? (Yes — Here’s How) By Dr. Kinnar Shah | Cosmetic