SYDNEY CBD
SYDNEY CBD
SYDNEY CBD

Premium Quality
Best quality Porcelain veneers are used when designing your natural looking smile.

Natural Looking
Working with a master ceramist, our veneers are made looking as natural as real teeth.

Cosmetic Dentists
Over 30 Years of Experience in cosmetic dentistry & of creating the most beautiful smiles.

Payment Plans
A set of Porcelain Veneers can start from $100/week on our INTEREST-FREE payment plans.
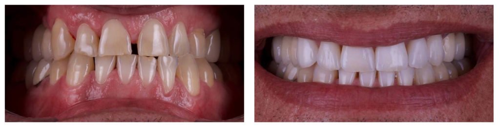
Your Stunning Smile Begins with Porcelain Veneers Sydney
Smile Concepts is dedicated in designing your dream smile with Best Quality Porcelain Veneers Sydney.
Precision is the key factor behind every treatment at Smile Concepts. We do the same Porcelain Veneers Sydney via our advanced infrastructure and premium-grade material. We precisely craft our Porcelain Veneers to ensure they fit you perfectly well and look 100% natural. Our Porcelain Veneers gives you a stunning smile and mimics the functioning of your natural teeth. They seamlessly blend with your existing natural dental structure.
Where to find us?
Need help?
Dr. Manish Shah is a cosmetic dentist with a special interest in porcelain veneers, dental implants and Invisalign in Sydney.
Dr. Kinnar Shah is a cosmetic dentist with a special interest in cometic dentistry, porcelain veneers and dental implants practising at Smile Concepts.

















“Quality is never an accident; it is the result of high intention, sincere effort, intelligent direction and skillful execution; it represents the wise choice of many alternatives.”

Veneers are thin, yet strong tooth-coloured porcelain shells that are bonded on to the front of your teeth.
They have a “life like” appearance with the strength, beauty, and durability only porcelain restorations can create.
Porcelain veneers and dental crowns can dramatically transform crooked or crowded, chipped and gappy smiles.
First of all, when you come in for a consultation, we would show you show you a size and shape chart that will allow you to determine what shape suits your facial aesthetics the most.
Rest assured, we always take into consideration the current shape of your teeth, your facial features and ideal teeth colour into account.
Then, when we design the mockup on a model as shown in the picture, we can then get an idea how good your teeth will look with your final veneers.
As for the colour, we will show you shade tabs that we can put next to your current smile and see which shade would suit you best.




Our dental professionals design the most natural-looking smile with the best quality veneers to suit your facial aesthetics.
Essentially, a perfect set of veneers is a result of artistic capabilities of a dental technician.
Sometimes, we have to do a gum lift to make your smile appear even more balanced and in harmony with your whole facial features.
As a result, if you are looking for a reputable dentist who is capable of designing and creating natural-looking porcelain veneers, then you will need to see a dentist with high levels of experience such as our team at Smile Concepts.


We use state-of-the-art dental technology, including tools like 3D digital imaging. Our veneers are individually handcrafted to ensure a more natural and personalized result.
Result? We create Porcelain Veneers Sydney with pinpoint accuracy! Such precisely perfected veneers fit naturally and give a natural appearance to your smile. Whether it’s the colour tone or the structure of your natural teeth, our Porcelain Veneers match it all!
We scan your teeth digitally to ensure your Porcelain Veneers requires minimal adjustments and the procedure is wrapped up quickly.
At Smile Concepts, we believe no two patients are the same. So we take a tailored approach for Porcelain Veneers in Sydney of each patient. We work with the master ceramists to ensure your Porcelain Veneers perfectly match your natural smile and give you a cohesive look. We also use precise shade-matching techniques.
This helps us customise your Porcelain Veneers Sydney’s shade perfectly with the surrounding teeth.
Result? You get an aesthetically pleasing and fully functional smile.

In general, most of the time, we would recommend you to do the number of teeth that show when you smile.
That’s why the number can range from 6 to 10 teeth.
In certain instances, just doing 1 to 4 teeth can also make a huge difference.
Keen to know exactly how many veneers you should get? Find out more here.

It is true that getting veneers can be a real investment. The good news is, they can last from 7 to 20 years. While the veneer itself is inert and non-living, the tooth or teeth to which they are attached and the surrounding gum tissues are living and may change.
For example, gum line shrinkage may expose or reveal root surfaces.
For instance: if a veneer comes off it can generally be re-bonded.
Also, if it chips it can sometimes be rebonded or otherwise replaced. Therefore, if you practice good hygiene and look after your veneers, they are designed to last a long time.
Interested in learning more about how long veneers could last? Read more about it in our latest smile makeover 101 blog post.

Durability is the core quality of our Porcelain Veneers. We understand patients do not want to get this procedure repeatedly. So we craft veneers that can last upto 20 years if you take good care. You can ensure your Porcelain Veneers’s longevity with regular dental check-ups and oral hygiene.
So with Porcelain Veneers Sydney at Smile Concepts, long-term performance is Guaranteed!

Essentially, the cost of veneers varies based on two things
It is possible that if you are after an amazing and natural-looking smile, the price is could be higher considering the materials and the expertise of our master ceramist.
Meanwhile, if you are happy with a rather fake looking smile, then the price will be less.
Feel free to head to our smile gallery to see what you would like for your dream smile.
Porcelain Veneers cost from as little as 1,200.00 per tooth.
Did you know that we now have new Interest FREE payment plan facilities, where you can get a set of Porcelain Veneers from just $100/week on approval?
Lastly, Read more about the Cost of Porcelain Veneers to get a full picture of the cost breakdown and how you can enjoy your stunning dream smile at an affordable price.

Over time, the thin, hard white substance covering your teeth (enamel) may become worn, dulled, and discoloured. Such wear and discolouration may be natural or the result of a genetic predisposition; however, it is often a result of your habits (soft drink, tea, or coffee consumption, smoking, medication use, etc.)

Naturally, teeth wear down as people age. Aged teeth are more likely to have chips, cracks or a generally uneven appearance.


Uneven teeth can becaused by tooth grinding or general wear and tear.



As a highly-trusted award-winning dental practice located in the heart of Sydney CBD, our professional, highly experienced dental professionals staff are fully committed to delivering the best service and highest quality of dental care possible.
Dr Shah and our amazing team provide comprehensive dental treatments especially high-end cosmetic dentistry, dental implants and Invisalign treatment. As highly skilled Sydney dentists with more than 30 years of combined experience, we are here to help you make the best decision and create your the best smile you have dreamed of.
If you are looking for a dentist in Sydney CBD, we are conveniently located next to Town Hall Station with Free Parking provided on our premise.

A smile can open doors and change lives.
A smile can open doors and change lives.
Dr. Manish Shah is a cosmetic dentist with a special interest in porcelain veneers, dental implants and Invisalign in Sydney.
Dr. Kinnar Shah is a cosmetic dentist with a special interest in cometic dentistry, porcelain veneers and dental implants practising at Smile Concepts.
























