SYDNEY CBD
SYDNEY CBD
SYDNEY CBD
Various factors may influence the price.
Scroll down to learn more.

Dr. Manish Shah is a cosmetic dentist with a special interest in porcelain veneers, dental implants and Invisalign in Sydney. He is also a medical doctor with an expertise in sleep & craniofacial pain medicine practising at Smile Concepts.

















“Quality is never an accident; it is the result of high intention, sincere effort, intelligent direction and skillful execution; it represents the wise choice of many alternatives.”
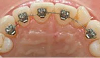
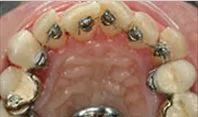
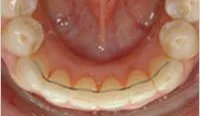
STb Social 6 are a form of lingual braces that are placed on the front six teeth on the inner side of the teeth.
They are generally used for minor crowding problems or spacing problems.
Cost starts from 3500.00 per jaw.


They are generally used for minor crowding problems or spacing problems.
They are good alternative to the aligner systems.
However, you will need to be assessed to know if you are suitable for the procedure.

Quality
Speed
Simplicity
Comfort


Treatment time:
5 Weeks


Treatment time:
6 Weeks


Treatment time:
7 Weeks


Treatment time:
8 Weeks


Treatment time:
11 Weeks


Treatment time:
16 Weeks

We have been providing a full range of orthodontics, cosmetic and general dental services from a highly qualified and dedicated team.
To know more about your orthodontic treatment options.
A smile can open doors and change lives.
A smile can open doors and change lives.
Be certain that you will get the best treatment & customer experience.
Be assured that our team of experts shall provide you with The Right Choices.
Our philosophy is a commitment to excellence in dental care & service.


Dr. Manish Shah is a cosmetic dentist with a special interest in porcelain veneers, dental implants and Invisalign in Sydney. He is also a medical doctor with an expertise in sleep & craniofacial pain medicine practising at Smile Concepts.
























