SYDNEY CBD
SYDNEY CBD
SYDNEY CBD
Highest Precision & Safe Procedure – Your baby will be able to suckle immediately after the procedure.
Creating smiles with the most advanced technology & innovation with Laser Dentistry.
“Quality is never an accident; it is the result of high intention, sincere effort, intelligent direction and skillful execution; it represents the wise choice of many alternatives.”
A tongue tie is a piece of tissue that holds the tongue to the floor of the mouth.
Doctors do not always agree on how to identify tongue-tie, especially if it is mild.
Because of this, it is difficult to say how common it is.
Some studies have shown that about four per cent of babies have tongue-tie.
Others found it to be much more common, affecting about 11 per cent.
You may be told that it is inherited, but, in fact, this has yet to be proved.




Sometimes the doctor identifies tongue-tie during your baby’s first routine check-up at birth.
A midwife may put her finger in your baby’s mouth to check the roof of his mouth and his tongue.
But a tongue-tie is not always easy to spot.
It may not be found until later, for example, if your baby has feeding difficulties.
If you and your baby are finding breastfeeding difficult, you can ask your midwife, child health nurse or doctor to check for tongue-tie.
In an infant, a normal tongue moves around freely and is not confined by teeth and therefore extends outwards between the upper and lower jaw.
Whilst swallowing the infants keep their jaws parted and the tongue is placed between gum pads to produce a vacuum for swallowing (called the infantile swallow).
At 2.5 years of age when all the milk teeth have erupted, this “infantile swallow” is replaced by the adult swallow.
Here the lips are closed, the jaws bite together and the tip of the tongue is raised and pressed against the front part of the upper jaw.


A tongue tie occur in children whose tongue is attached to the floor of the mouth and as a result can’t move the tongue around.
It may impede speech and many babies can find it difficult to suckle if they have are tongue tied.
Mothers, midwives and doctors see this often.
If there is a tongue tie in a newborn or a tongue tie in an infant then they do not outgrow their infantile swallow and continue to swallow with their jaw apart.

Many babies with tongue-tie may not have any feeding problems at all. But because the tongue can’t move freely, other babies may:
If your baby is struggling to feed because of tongue-tie, this may leave you with painful nipples and a feeling of frustration.
These are common problems early on in breastfeeding, but for most mothers and babies they improve over time.
If these troubles last longer than six weeks, it may be a sign that your baby has tongue-tie.
Of course, breastfeeding difficulties may not be because of tongue-tie at all.
A lactation consultant will help identify the causes of breast feeding difficulties and if tongue tie is severe and causing problems will refer you to us.
Tongue-tie is sometimes blamed for speech problems.
However, there’s not much evidence to prove a link. In one small study, children’s speech problems improved after a minor operation to correct it.

Unable to swallow normally leading to a swallowing pattern which creates orthodontic problems such as open bite and crowded teeth.
Some children can compensate well and have normal sounding speech, even those with a tongue tie attached very close to the front of the tongue tip.
Unfortunately, many children may have imprecise articulation, especially when talking quickly.
Cavities can occur due to food debris not being removed by the tongue’s action of sweeping the teeth and spreading saliva which may also result in gum disease.
Children with poor communication as a result of being tongue tied often show low self-esteem.
Inadequate facial development including
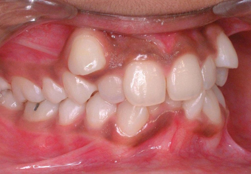
a. An open bite situation (where the front teeth do not touch with each other when the child closes his/her mouth).
This happens because during swallowing the tongue sits between the teeth in the front part not allowing the jaws to come together.

b. 1 The upper jaw does not develop fully resulting in crooked or crowded teeth:

b. 2 The upper jaw does not develop fully resulting in the lower jaw being trapped inside the upper jaw this not allowed to grow properly as well:

b. 3 The upper jaw does not develop fully resulting in long term sleep disordered breathing problems that may lead to
All tongue ties do not look alike – that is why it is sometimes difficulty to spot them.
They can be thin and membranous, thick and white, short, long or wide, extending from the margin of the tongue all the way to the lower front teeth, or so short and tight that they make a web connecting the tongue to the floor of the mouth.
When they extend to the margin of the tongue, they cause a heart-shaped look at the front of the tongue and no tongue tip can be seen.
When they extend across the floor of the mouth they cause pain when the tongue is elevated.
They can cause separation or inward tilting of the incisors.



1. Gum recession on individual teeth.

2. Gum recession in between the teeth

Tongue tie surgery is carried out under topical (cream) anaesthetic on the tongue tie.
We can precisely and painlessly remove the tissue making it very comfortable for your baby.
It takes practically 2 – 3 mins to perform but some cooperation from the patient is required to keep still.
There is no bleeding afterwards, no sutures and hardly any discomfort.
Tongue tied babies can suckle immediately after the procedure! It is a truly amazing way to have surgery.
Children go to school the day after and adults can go back to work the same day.
Eating is normal.




Lasers are an excellent alternative to scissors or a scalpel as a means to incise soft tissue. In laser terms the tissue is “ablated”.
Light energy is used to incise tissue rather than cutting that occurs with scissors or scalpels.
The use of lasers in surgery has a distinct advantage over other methods for a number of reasons: it reduces the collateral damage as it is more precise and cuts layer by layer, it is bactericidal (kills bacteria as it ablates), reduces oedema, swelling and inflammation and therefore allows for better healing through the concept of photobiomodulation.
With a lip tie, together with an anaesthetic cream, a local anaesthetic may also be used. This procedure is also painless and takes about 2 to 3 mins to perform.
There may be some bleeding with this procedure which generally stops within 5 to 10 mins.
No.
Laser resection of the tongue tie does NOT hurt.
Older babies do not like being wrapped up or held firmly so they usually cry out.
Following division, the baby is promptly unwrapped and returned for feeding.
Although some babies will cry for up to 60 seconds, the average is just 15 seconds (and some just stay asleep).

This happens even quicker in babies, so there is no need for any form of wound management, the baby just needs to be fed.
Often there is a white patch under the tongue which takes 24 – 48 hours to heal. This does not seem to cause the baby any discomfort.
1. Dentist – will help improve problems with decay and development of the jaw
2. Speech Therapist – will help in speech and language problems
3. Lactation Consultant – will help you with improving breastfeeding and poor suckling
A tongue tie is a piece of tissue that holds the tongue to the floor of the mouth.
Doctors do not always agree on how to identify tongue-tie, especially if it is mild.
Because of this, it is difficult to say how common it is.
Some studies have shown that about four per cent of babies have tongue-tie.
Others found it to be much more common, affecting about 11 per cent.
You may be told that it is inherited, but, in fact, this has yet to be proved.




Sometimes the doctor identifies tongue-tie during your baby’s first routine check-up at birth.
A midwife may put her finger in your baby’s mouth to check the roof of his mouth and his tongue.
But a tongue-tie is not always easy to spot.
It may not be found until later, for example, if your baby has feeding difficulties.
If you and your baby are finding breastfeeding difficult, you can ask your midwife, child health nurse or doctor to check for tongue-tie.
In an infant, a normal tongue moves around freely and is not confined by teeth and therefore extends outwards between the upper and lower jaw.
Whilst swallowing the infants keep their jaws parted and the tongue is placed between gum pads to produce a vacuum for swallowing (called the infantile swallow).
At 2.5 years of age when all the milk teeth have erupted, this “infantile swallow” is replaced by the adult swallow.
Here the lips are closed, the jaws bite together and the tip of the tongue is raised and pressed against the front part of the upper jaw.


A tongue tie occur in children whose tongue is attached to the floor of the mouth and as a result can’t move the tongue around.
It may impede speech and many babies can find it difficult to suckle if they have are tongue tied.
Mothers, midwives and doctors see this often.
If there is a tongue tie in a newborn or a tongue tie in an infant then they do not outgrow their infantile swallow and continue to swallow with their jaw apart.

Many babies with tongue-tie may not have any feeding problems at all. But because the tongue can’t move freely, other babies may:
If your baby is struggling to feed because of tongue-tie, this may leave you with painful nipples and a feeling of frustration.
These are common problems early on in breastfeeding, but for most mothers and babies they improve over time.
If these troubles last longer than six weeks, it may be a sign that your baby has tongue-tie.
Of course, breastfeeding difficulties may not be because of tongue-tie at all.
A lactation consultant will help identify the causes of breast feeding difficulties and if tongue tie is severe and causing problems will refer you to us.
Tongue-tie is sometimes blamed for speech problems.
However, there’s not much evidence to prove a link. In one small study, children’s speech problems improved after a minor operation to correct it.

Unable to swallow normally leading to a swallowing pattern which creates orthodontic problems such as open bite and crowded teeth.
Some children can compensate well and have normal sounding speech, even those with a tongue tie attached very close to the front of the tongue tip.
Unfortunately, many children may have imprecise articulation, especially when talking quickly.
Cavities can occur due to food debris not being removed by the tongue’s action of sweeping the teeth and spreading saliva which may also result in gum disease.
Children with poor communication as a result of being tongue tied often show low self-esteem.
Inadequate facial development including
a. An open bite situation (where the front teeth do not touch with each other when the child closes his/her mouth).
This happens because during swallowing the tongue sits between the teeth in the front part not allowing the jaws to come together.

b. 1 The upper jaw does not develop fully resulting in crooked or crowded teeth:

b. 2 The upper jaw does not develop fully resulting in the lower jaw being trapped inside the upper jaw this not allowed to grow properly as well:

b. 3 The upper jaw does not develop fully resulting in long term sleep disordered breathing problems that may lead to
All tongue ties do not look alike – that is why it is sometimes difficulty to spot them.
They can be thin and membranous, thick and white, short, long or wide, extending from the margin of the tongue all the way to the lower front teeth, or so short and tight that they make a web connecting the tongue to the floor of the mouth.
When they extend to the margin of the tongue, they cause a heart-shaped look at the front of the tongue and no tongue tip can be seen.
When they extend across the floor of the mouth they cause pain when the tongue is elevated.
They can cause separation or inward tilting of the incisors.



1. Gum recession on individual teeth.

2. Gum recession in between the teeth

Tongue tie surgery is carried out under topical (cream) anaesthetic on the tongue tie.
We can precisely and painlessly remove the tissue making it very comfortable for your baby.
It takes practically 2 – 3 mins to perform but some cooperation from the patient is required to keep still.
There is no bleeding afterwards, no sutures and hardly any discomfort.
Tongue tied babies can suckle immediately after the procedure! It is a truly amazing way to have surgery.
Children go to school the day after and adults can go back to work the same day.
Eating is normal.




Lasers are an excellent alternative to scissors or a scalpel as a means to incise soft tissue. In laser terms the tissue is “ablated”.
Light energy is used to incise tissue rather than cutting that occurs with scissors or scalpels.
The use of lasers in surgery has a distinct advantage over other methods for a number of reasons: it reduces the collateral damage as it is more precise and cuts layer by layer, it is bactericidal (kills bacteria as it ablates), reduces oedema, swelling and inflammation and therefore allows for better healing through the concept of photobiomodulation.
With a lip tie, together with an anaesthetic cream, a local anaesthetic may also be used. This procedure is also painless and takes about 2 to 3 mins to perform.
There may be some bleeding with this procedure which generally stops within 5 to 10 mins.
No.
Laser resection of the tongue tie does NOT hurt.
Older babies do not like being wrapped up or held firmly so they usually cry out.
Following division, the baby is promptly unwrapped and returned for feeding.
Although some babies will cry for up to 60 seconds, the average is just 15 seconds (and some just stay asleep).

This happens even quicker in babies, so there is no need for any form of wound management, the baby just needs to be fed.
Often there is a white patch under the tongue which takes 24 – 48 hours to heal. This does not seem to cause the baby any discomfort.
1. Dentist – will help improve problems with decay and development of the jaw
2. Speech Therapist – will help in speech and language problems
3. Lactation Consultant – will help you with improving breastfeeding and poor suckling
A smile can open doors and change lives.
A smile can open doors and change lives.
Be certain that you will get the best treatment & customer experience.
Be assured that our team of experts shall provide you with The Right Choices.
Our philosophy is a commitment to excellence in dental care & service.


Dr. Manish Shah is a cosmetic dentist with a special interest in porcelain veneers, dental implants and Invisalign in Sydney. He is also a medical doctor with an expertise in sleep & craniofacial pain medicine practising at Smile Concepts.
























