SYDNEY CBD
SYDNEY CBD
SYDNEY CBD
Various factors may influence the price.
Scroll down to learn more.
Smile Concepts is dedicated in helping you creating the smile of your dreams with Lingual Braces.

Dr. Manish Shah is a cosmetic dentist with a special interest in porcelain veneers, dental implants and Invisalign in Sydney. He is also a medical doctor with an expertise in sleep & craniofacial pain medicine practising at Smile Concepts.

















“Quality is never an accident; it is the result of high intention, sincere effort, intelligent direction and skillful execution; it represents the wise choice of many alternatives.”

Lingual/Incognito braces are braces that are placed on the inside surface of the teeth so the braces are completely invisible.
Lingual braces offer the same advantages as conventional braces while also being completely invisible.
If you would like to have braces but do not want them to be seen by anybody, we can place them on the inner side of your mouth.
They are however more expensive than conventional braces or Invisalign® and can only be done in people who are suitable for treatment.


Depending on your case, the cost of lingual braces can vary greatly between $4,500 to $12,500.
With our Interest-free Payment Plans, lingual braces cost can start from $60 per week, learn more here.
Have a chat with our friendly staff today for more details on 02 9267 7777.
Keen to read more? Find out more on Lingual Braces Cost here.
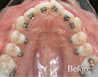
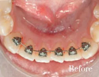
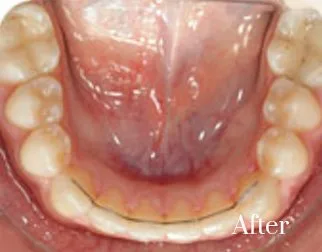
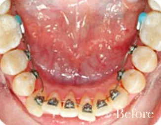
Case 1


Case 2


Case 3


Case 4


We believe in our patients having a Beautiful Smile and Natural Teeth for Life.
We have been providing a full range of orthodontics, cosmetic and general dental services from a highly qualified and dedicated team.
To know more about your orthodontic treatment options.

A smile can open doors and change lives.
A smile can open doors and change lives.
Be certain that you will get the best treatment & customer experience.
Be assured that our team of experts shall provide you with The Right Choices.
Our philosophy is a commitment to excellence in dental care & service.


Dr. Manish Shah is a cosmetic dentist with a special interest in porcelain veneers, dental implants and Invisalign in Sydney. He is also a medical doctor with an expertise in sleep & craniofacial pain medicine practising at Smile Concepts.
























