SYDNEY CBD
SYDNEY CBD
SYDNEY CBD


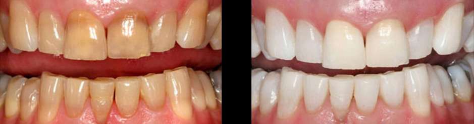
Do yellow stains make you feel less superior in a social gathering or reduce your confidence? Does it make you stand in front of the mirror and ask the same question – what did you do to deserve it? Worry not, we at Smile Concepts are here to help you address these teeth stains and bring the best solutions for you – i.e. Teeth Whitening treatment.
When it comes to teeth whitening, it’s important to consider the unique needs and considerations of individuals of different ages. Each age group may have varying dental issues and requirements for achieving a brighter smile from teenagers to seniors.
For teenagers and young adults; teeth whitening may be expected to address stains caused by poor oral hygiene, dietary habits, or lifestyle choices like smoking. However, it’s essential to approach teeth whitening with protection in this age group; as their teeth and gums are still developing. Professional guidance from a dentist is recommended to ensure safe and effective treatment. In Sydney, teenagers can benefit from professional teeth whitening services provided by reputable dental clinics in Sydney.
Middle-aged men and women may start to notice more significant discolouration & staining on their teeth due to factors such as ageing, dietary habits, & lifestyle factors. Teeth whitening can be an effective solution to brighten their smile and reverse the effects of ageing. Professional-grade whitening treatments offered by dental professionals in Sydney can provide noticeable results, restoring a youthful glow to their smile.

Seniors may face unique challenges when it comes to teeth whitening, such as increased tooth sensitivity, gum recession, & existing dental restorations like crowns or veneers. In such cases; a dentist may recommend alternative whitening methods or tailor the treatment to accommodate their specific needs. Despite these challenges, professional teeth whitening services in Sydney can still help seniors achieve a brighter and more vibrant smile; improving their overall confidence and quality of life.
Hence, teeth whitening becomes a versatile and effective cosmetic dental procedure that can benefit individuals of all ages. However; it’s essential to consider the unique needs & considerations of different age groups when undergoing teeth whitening treatment. By seeking professional guidance and treatment from renowned cosmetic dental clinics in Sydney; adults can get a brighter; more radiant smile that enhances their overall appearance & self-confidence.
Smile Concepts is a high-end dental clinic in the heart of Sydney. To deliver the best service, we always prioritise your wellbeing so we can use our expertise to help you live a better life.


Dr. Manish Shah is a cosmetic dentist with a special interest in porcelain veneers, dental implants and Invisalign in Sydney.
Dr. Kinnar Shah is a cosmetic dentist with a special interest in cometic dentistry, porcelain veneers and dental implants practising at Smile Concepts.