SYDNEY CBD
SYDNEY CBD
SYDNEY CBD


At Smile Concepts, we know how important a healthy, confident smile is—not just for looks, but for your overall well-being. Misaligned teeth can impact more than just appearances, they can cause real health problems. That’s why we’re here to help you understand the causes of crooked or misaligned teeth and show you the options we offer for straightening them.

Misaligned teeth can happen for several reasons, and often, it’s not something you can control. A few common causes include:
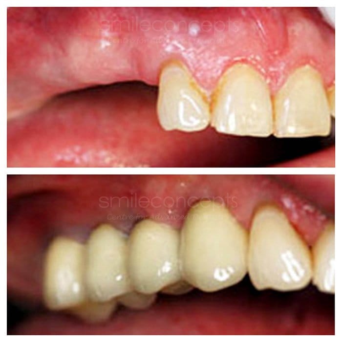
Whatever the reason for your crooked teeth, there’s good news: effective Misaligned Teeth Treatment is available right here in Sydney at Smile Concepts.
It’s easy to think of crooked teeth as just a cosmetic issue, but they can have serious effects on your health. For one, cleaning misaligned teeth can be challenging, leading to plaque buildup, cavities, and gum disease. Beyond that, poor alignment can result in:
By seeking Crooked Teeth Treatment in Sydney, you can prevent these complications while enjoying a more attractive smile.

We understand that each individual’s requirements are different. That’s why we offer three proven options for Misaligned Teeth Treatment to suit different situations:
At Smile Concepts, our experienced dentists combine over 30 years of expertise with advanced technology to ensure you’re comfortable and satisfied every step of the way. Whether you’re interested in veneers, Invisalign, or clear braces, we’ll work with you to create a solution that enhances both your smile and your dental health.
Misaligned teeth don’t have to hold you back. With our professional Crooked Teeth Treatment in Sydney, you’ll gain the confidence and health benefits of a beautifully aligned smile. Ready to get started? Reach out to Smile Concepts today!
Smile Concepts is a high-end dental clinic in the heart of Sydney. To deliver the best service, we always prioritise your wellbeing so we can use our expertise to help you live a better life.


Dr. Manish Shah is a cosmetic dentist with a special interest in porcelain veneers, dental implants and Invisalign in Sydney.
Dr. Kinnar Shah is a cosmetic dentist with a special interest in cometic dentistry, porcelain veneers and dental implants practising at Smile Concepts.